
メタルブラケット

セラミックブラケット
金属製や透明、白のブラケットを歯の表面に張り付けワイヤーを通して少しずつ歯を移動させていきます。よく使用される装置であり、口を開けた時に矯正をしていると分かりやすい矯正方法です。
しかし患者さんによっては、ご事情やご希望がある場合もあると思いますのでまずご相談ください。できる限りご要望に沿う方法で治療をおこなっております。
すべての歯が永久歯に生え変わり、あごの成長がある程度予測できたころにマルチブラケット(歯の表面に金具を貼り付ける装置)を使って、よい歯並び、咬み合わせにします。あごの大きさによっては永久歯を何本か抜かなければならないこともあります。
治療期間はおよそ1~3年かかります。
歯に貼りつけるブラケットは金属のもの(メタルブラケット)の他、目立ちにくい歯の色(セラミックブラケット)にすることもできます。最近はほとんどの方がこちらを選択されます。
ブラケットを歯の裏側にはりつけて行う舌側矯正は当院では部分矯正にのみで、治療期間が長くなる等の理由から全顎治療には行っておりません。
また、歯がきれいに並んだら矯正装置をはずし、代わりに後戻りを防ぐ装置(保定装置)をつけます。
保定装置を使う期間は、矯正装置で歯を動かすのと同じくらいの期間になります。

マウスピース型カスタムメイド矯正装置(インビザライン)とは、全世界で約120万人以上の患者さんが使っている、透明な装置を使った矯正治療です。金属のワイヤーを使用しないので、付けているのがほとんどわかりません。
また、普通に会話ができ、喋りやすく、痛みがほとんどありません。
患者さんの歯型を採取しプラスチック製のマウスピースを作成し、定期的にマウスピースを交換しながら歯を移動させる方法です。
透明なマウスピースなので付けていることが目立たず矯正治療中であることが気づかれにくいです。
ブラケット装置は食べ物が挟まったり、噛みにくかったりすることもありますが、マウスピース型カスタムメイド矯正(インビザライン)は取り外して食事ができるので普段通りに食事が楽しめ、歯磨きもできます。
ブラケット装置型矯正は調整での通院の他に、ブラケットやワイヤーが外れたなどのトラブルが起こりやすく、その度に通院が必要になってしまいます。
マウスピース型カスタムメイド矯正(インビザライン)は1~3ヶ月に1度通院していただいて、ご自宅で7~14日ごとにマウスピースを交換します。トラブルも少なく、急な通院の必要が少ないため通院回数が少なくなります。



矯正用アンカースクリュー
すぎもと歯科では、歯科矯正用アンカースクリュー(アブソアンカー)を用いた矯正治療も行なっています。
「少しでも短期間に治療を終わらせたい!」という方で、適応症の方にはオススメしています。
歯科矯正用に開発された小さいアンカースクリューを顎の骨に埋めこみ それを固定源とすることで、動かしたい歯だけをより確実に動かし、治療を効率的に進めることが可能になりました。
また今までの矯正歯科治療では動かすのが難しかった方向に歯を動かせるようになり、結果として治療期間を短縮できる画期的な矯正方法です。歯ぐきに入れるスクリューは、数ミリしかない小さなピンのようなもので、麻酔を使用し埋入するので痛みは、ほとんどありません。
スクリューは矯正終了後、除去します。跡が残ることもありません。

歯の一部分のみ矯正器具をつけて、歯のがたがたを治したり、根っこだけになってしまった歯を引っ張り出したり、倒れている歯を起こしたりします。
治療期間は1~2年くらい、簡単なものであれば5~6ヶ月で終わることもあります。
奥歯のみでしたらほとんど気づかれずに矯正することができます。
「これくらい…」と思っていないで、お気軽にご相談ください。
歯が磨きやすくなり、虫歯予防、歯周病予防になります。
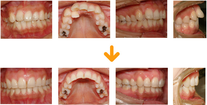
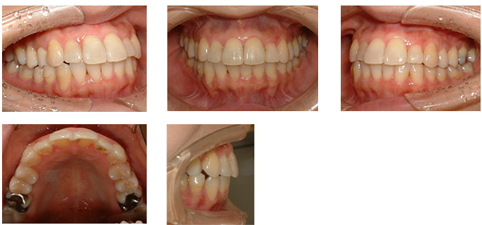
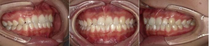
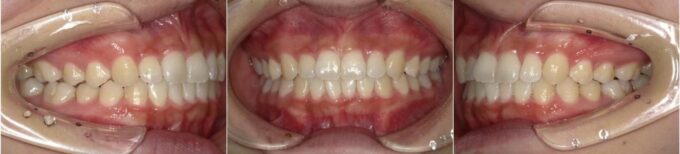
上顎前突(出っ歯)、スキッ歯も改善され、上顎のアーチもきれいに並びました。

| 初診時年齢・性別 | 14歳1ヶ月 男性 |
|---|---|
| 主訴 | 上の前歯が出ていて、スキッ歯なので治したい。 |
| 診断名・主な症状 | 上顎前突、上の歯が出っ張っている 下の歯はきれいに見えるが、上の歯を動かす事で咬み合せが変わるため、上下の歯にブラケットをつけたブラケット矯正が必要。 |
| 治療内容 | 上下に唇側ブラケット矯正装置を使用 |
| 治療期間 | 1年11ヶ月 |
| 保定期間 | 約3年 |
| 注意点・リスクなど | 矯正治療により歯が動くことに伴う痛み、慣れるまで舌感が気になる むし歯・歯肉炎、歯根吸収、歯肉退縮、金属アレルギーなどがおこることがある。 |
| 治療費用 | 約40万円 |
| 抜歯 | 非抜歯 |

| 初診時年齢・性別 | 16歳3ヶ月 女性 |
|---|---|
| 主訴 | 前歯がガタガタ |
| 診断名・主な症状 | 上下顎叢生、抜歯は必要ない。 1年半ほど顎の拡大のための装置を使い、顎が広がったらその後ブラケット矯正で、歯をきれいに並べていく。 |
| 治療内容 | 拡大のために上顎にはクワドヘリックス、下顎にはバイヘリックスを使用(1年半)、 拡大終了後、上下頬側ブラケット矯正装置を使用(2年) |
| 治療期間 | 3年6ヶ月 |
| 保定期間 | 約3年 |
| 注意点・リスクなど | 矯正治療による伴う痛み、抜歯の痛み、慣れるまで舌感が気になる、金属アレルギー、むし歯・歯肉炎、歯根吸収、歯肉退縮、顎関節症などになることがある。 |
| 治療費用 | 約71万円 |
| 抜歯 | 非抜歯 |

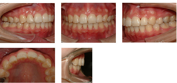
| 初診時年齢・性別 | 14歳2ヶ月 女性 |
|---|---|
| 主訴 | 上下ともガタガタ、前歯が出っ歯 |
| 診断名・主な症状 | 上下顎叢生、上顎前突もあるため、上顎左右の第1小臼歯の抜歯が必要。 抜歯後、頬側ブラケット矯正で上前歯を引っ込め、きれいに並べていく。 |
| 治療内容 | 上顎左右の第1小臼歯を抜歯、その後上下に頬側マルチブラケット矯正装置を使用。 |
| 治療期間 | 1年11ヶ月 |
| 保定期間 | 約2年6ヶ月 |
| 注意点・リスクなど | 矯正治療による伴う痛み、抜歯の痛み、慣れるまで舌感が気になる、 むし歯・歯肉炎、歯根吸収、歯肉退縮 顎関節症などになることがある。 |
| 治療費用 | 約52万円 |
| 抜歯 | 上顎第1小臼歯2本 |

| 初診時年齢・性別 | 32歳0ヶ月 男性 |
|---|---|
| 主訴 | 前歯が出っ歯 |
| 診断名・主な症状 | 右上奥歯が挺出(ていしゅつ)、上顎前突 上下唇側ブラケット矯正、歯科矯正用アンカースクリュー(アブソアンカー)も使用。 |
| 治療内容 | 上下に頬側マルチブラケット矯正装置を使用、 右上奥に矯正用のアンカースクリューを埋入し、矯正終了後スクリューは抜きとり。 |
| 治療期間 | 4年4ヶ月 |
| 保定期間 | 約4年6ヶ月 |
| 注意点・リスクなど | 矯正治療による伴う痛み、アンカースクリューの埋入処置での痛み、 装置に慣れるまで舌感が気になる、むし歯・歯周病、歯根吸収、歯肉退縮、 金属によるアレルギー症状、顎関節症が出ることがある、 矯正用スクリューアンカーが抜ける場合がある、その際は再度埋め込むことになるが費用は発生しない。 |
| 治療費用 | 約73万円 |
| 抜歯 | 非抜歯 |

| 初診時年齢・性別 | 28歳2ヶ月 女性 |
|---|---|
| 主訴 | 前歯が出っ歯、1本は引っ込んでいる |
| 診断名・主な症状 | 上下顎叢生、上顎前突、舌側転移もあるため、第1小臼歯4本の抜歯が必要。 |
| 治療内容 | 上下左右第1小臼歯を抜歯。 抜歯後、上下顎に頬側ブラケット矯正装置を使用。 |
| 治療期間 | 約3年 |
| 保定期間 | 約3年 |
| 注意点・リスクなど | 矯正治療による伴う痛み、抜歯の痛み、慣れるまで舌感が気になる、 むし歯・歯周病、歯根吸収、歯肉退縮、金属アレルギー、顎関節症などを起こすことがある。 |
| 治療費用 | 約80万円 |
| 抜歯 | 上下左右第1小臼歯(4本) |
透明のマウスピース型矯正装置を使って歯を移動させる矯正、5年間使用


| 初診時年齢・性別 | 41歳4ヶ月 女性 |
|---|---|
| 主訴 | 前歯が出っ歯、1本は引っ込んでいる |
| 診断名・主な症状 | 上下顎叢生、上顎前突、マウスピース型矯正装置を希望 |
| 治療内容 | 希望通り マウスピース型カスタムメイド矯正装置(インビザライン)で矯正 |
| 治療期間 | 約2年3ヶ月 |
| 保定期間 | LBR使用中 |
| 注意点・リスクなど | 1日のうち20時間は装着するようにしないと効果が期待できない場合がある。 まとめて受け取ったマウスピースを自分で管理しないといけない。 *インビザラインは完成物薬機法対象外の装置のため、医薬品副作用被害救済制度の対象外になります。 *完成物薬機法対象外の矯正歯科装置であり、承認薬品を対象とする医薬品副作用被害救済制度の対象外となる場合があります。 |
| 治療費用 | 約70万円 |
| 抜歯 | 非抜歯 |
叢生・開口・上顎全突(出っ歯)など、歯科矯正用アンカースクリューを用いた矯正も使用して3年半


| 初診時年齢・性別 | 28歳1ヶ月 女性 |
|---|---|
| 主訴 | 前歯が出っ歯、前歯で噛み切れない |
| 診断名・主な症状 | 上下顎叢生、上顎前突、開咬もあるため、第1小臼歯の抜歯が必要。 |
| 治療内容 | 第1小臼歯4本を抜歯。抜歯によりできたスペースに、頬側ブラケット矯正装置を使用。 歯科矯正用アンカースクリュー(アブソアンカー)も使用。 |
| 治療期間 | 3年6ヶ月 |
| 保定期間 | 約4年 |
| 注意点・リスクなど | 矯正治療による伴う痛み、抜歯の痛み、慣れるまで舌感が気になる、むし歯・歯周病、 歯根吸収、歯肉退縮、金属アレルギー、顎関節症などを起こすことがある。 矯正用スクリューアンカーが抜ける場合がある、その際は再度埋め込むことになるが費用は発生しない。 |
| 治療費用 | 約75万円 |
| 抜歯 | 上下左右第1小臼歯4本 |
スキッ歯、マウスピースを5ヶ月間使用

| 初診時年齢・性別 | 21歳6ヶ月 女性 |
|---|---|
| 主訴 | 前歯がスキッ歯 |
| 診断名・主な症状 | 上顎空隙歯列 |
| 治療内容 | マウスピース型カスタムメイド矯正装置(インビザライン)で治療 |
| 治療期間 | 約6ヶ月 |
| 保定期間 | 約2年 |
| 注意点・リスクなど | 1日のうち20時間は装着するようにしないと効果が期待できない場合がある。 まとめて受け取ったマウスピースを自分で管理しないといけない。 *インビザラインは完成物薬機法対象外の装置のため、医薬品副作用被害救済制度の対象外になります。 *完成物薬機法対象外の矯正歯科装置であり、承認薬品を対象とする医薬品副作用被害救済制度の対象外となる場合があります。 |
| 治療費用 | 約25万円 |
| 抜歯 | 非抜歯 |



| 初診時年齢・性別 | 21歳6ヶ月 女性 |
|---|---|
| 主訴 | 子供の頃矯正したが後戻りしてきた、目立たない矯正で治したい。 |
| 診断名・主な症状 | 小児期の矯正後、保定装置を入れてなかったための後戻り |
| 治療内容 | 希望通りマウスピース型カスタムメイド矯正装置(インビザライン)使用 |
| 治療期間 | 約8ヶ月 |
| 保定期間 | 2年 |
| 注意点・リスクなど | 1日のうち20時間は装着するようにしないと効果が期待できない場合がある。 まとめて受け取ったマウスピースを自分で管理しないといけない。 *インビザラインは完成物薬機法対象外の装置のため、医薬品副作用被害救済制度の対象外になります。 *完成物薬機法対象外の矯正歯科装置であり、承認薬品を対象とする医薬品副作用被害救済制度の対象外となる場合があります。 |
| 治療費用 | 約45万円 |
| 抜歯 | 非抜歯 |
|
受付時間 |
月 |
火 |
水 |
木 |
金 |
土 |
日・祝 |
|---|---|---|---|---|---|---|---|
|
9:00~12:00 |
● |
● |
● |
/ |
● |
● |
/ |
|
15:00~18:30 |
● |
● |
● |
/ |
● |
▲ |
/ |
休診日:木・日・祝 ▲土曜午後は14:00~16:30
*祝日のある週も木曜日は休診です。